Клетки печени являются одними из наиболее важных и функциональных клеток в организме животных. Они выполняют множество функций, включая обработку питательных веществ, выработку желчи и детоксикацию организма.































Структура клетки печени
Клетка печени, также известная как гепатоцит, имеет сложную внутреннюю структуру, которая позволяет ей выполнять свои функции. Она состоит из множества компонентов, включая ядро, митохондрии, эндоплазматическую сеть, аппарат Гольджи и лизосомы.
Ядро клетки содержит генетическую информацию и управляет всеми процессами внутри клетки. Митохондрии являются "энергетическими заводами" клетки, где происходит синтез АТФ - основного источника энергии для клеточных процессов.
Эндоплазматическая сеть - это сложная система мембран, где синтезируются и обрабатываются белки. Аппарат Гольджи отвечает за сортировку и доставку белков и других молекул внутри и вне клетки. Лизосомы - это образования, содержащие ферменты, которые разлагают отходы и старые клеточные компоненты.































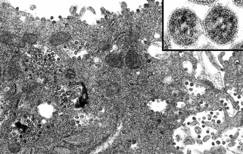
Микрофотография клетки печени
Микрофотография клетки печени позволяет нам увидеть внутреннюю структуру клетки в деталях и лучше понять ее функциональность. Клетка печени имеет характерную форму и уникальные особенности, которые можно увидеть на микрофотографии.
На микрофотографии видно ядро клетки, окруженное митохондриями и другими клеточными компонентами. Также можно увидеть сеть эндоплазматического ретикулума и аппарат Гольджи, которые выглядят как сложные системы мембран и внутренних структур.
Микрофотография клетки печени животного позволяет нам взглянуть на удивительный мир микромасштабных структур, которые образуют основу жизни организма. Они напоминают нам о сложности и красоте клеточной структуры, которая лежит в основе всех живых существ.













:max_bytes(150000):strip_icc()/nerve-fibres--light-micrograph-160934923-5c466b9b46e0fb000101ddd1.jpg)


















Заключение
Микрофотография клетки печени животного открывает перед нами удивительный мир микромасштабных структур. Она помогает нам лучше понять функциональность клетки печени и восхититься ее сложной внутренней структурой. Исследование клеточной биологии является важной областью науки, которая помогает нам расширить наши знания о живых организмах и их внутренней жизни.